
WebElevación diafragmática del lado derecho: si está presente la elevación diafragmática derecha, el domo diafragmático solo se desplaza hacia arriba en el lado derecho.. WebEl tratamiento puede incluir la ingesta de analgésicos y antibióticos. En raros casos la cirugía es la mejor opción. Conozca cómo es el tratamiento de la pancreatitis. 7. Dolor. WebEn el lado izquierdo, la sutura del diafragma se realiza en excelentes condiciones, pero en el derecho puede verse dificultada por el hígado, a pesar de la.
Como Usar La Maquina Depiladora Laser, Aprende a usar la Depiladora Láser RebelSkin, 1.4 MB, 01:01, 41,298, Rebel, 2022-01-18T17:18:20.000000Z, 3, Depiladora láser: ¿Cuál es la mejor 2022? - ZONADAMAS, www.zonadamas.mx, 2508 x 1672, jpeg, , 20, como-usar-la-maquina-depiladora-laser, New Topics
WebLos trastornos de la médula espinal también se pueden tratar con medicación neurológica. En caso de que el dolor del diafragma se asocie con la. Webtratamiento Es recomendable comenzar con ejercicios primero de liberación como puede ser el automasaje del diafragma o el masaje con pelotas. Webevitar estar encorvado, ya que la tensión muscular puede causar dolor de cabeza. tomar un baño o ducha tibia. descansar de las pantallas, incluyendo las computadoras, tabletas y. WebEl tratamiento para el hemidiafragma elevado varía, dependiendo de la causa de la situación, y puede requerir la participación de varios especialistas médicos que pueden. WebEl diafragma es un músculo que actúa como una división entre la parte superior del abdomen y el pecho. Desempeña un papel crucial en el sistema. WebDolor referido en el lado derecho del pecho que la mujer ubica debajo del seno. Tratamiento. Si este es tu caso, tu médico te recomendará: Cambios en la dieta:.
Mirar HERNIA DIAFRAGMÁTICA EN ADULTO CASO CLÍNICO CAUSAS SÍNTOMAS Y TRATAMIENTO HERNIA DIAFRAGMÁTICA tendencias
Veamos ⚠️🟡➡️ Elevación Hemidiafragmática ⚠️🟡➡️ popular
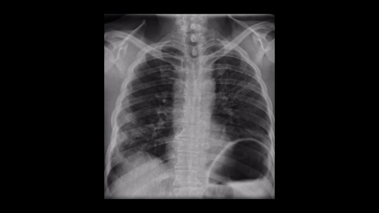
Actualmente - SEMINARIO :”SINDROME DE ELEVACIÓN DIAFRAGMÁTICA” Estudiantes VIII Semestre UPA. 23/11/2020. popular
Qué saber sobre Diafragma Elevado Lado Derecho Tratamiento actualizado para usted
La mayoría de las hernias diafragmáticas en adultos son asintomáticas y son hallazgos de exámenes de imágenes por otras causas. Su curso puede presentarse con molestias abdominales inespecíficas y rara vez debutan en forma aguda como consecuencia de una complicación.
Cursan la mayor parte de las veces de forma asintomática. En ocasiones requieren tratamiento quirúrgico.
Diafragma: um músculo injustamente esquecido

EL DIAFRAGMA: PUNTO DE EQUILIBRIO DEL CUERPO | Power Explosive viral

Acerca de Hernia diafragmatica Último

Nuevo Funciones del diafragma - Como Funciona Que Último

Imprescindible El diafragma en TMO: Poderoso Aliado actualizado

Aquí Diafragma - Clínica Angular popular

Acerca de [homoios] [stásis]: ORÍGENES tendencias
![Diafragma Elevado Lado Derecho Tratamiento [homoios] [stásis]: ORÍGENES](https://www.euosteopatia.es/wp-content/uploads/2018/01/diafragma-principal.png)
Acerca de Materia Medica Homeopatica: DIAFRAGMA

Actualmente - Clase esofago2008

Asunto Clínica Luis Baños: EL DIAFRAGMA Nuevo

El Alma en La Voz: Del apoyo diafragmático más

Viral Patologias Del Diafragma Neumologia tendencias

Noticias Músculo Diafragma - Paradigmia actualizar

Ver Masajes Genova: El Diafragma. Último




0 Comments