
WebLa ecografía de semana 32 tiene como principal finalidad comprobar que el feto crece bien. Además, permite valorar el bienestar fetal en tercer trimestre. En las gestaciones que evolucionan bien se suele hacer entre semanas 32 y 34 de embarazo; WebLa ecografía de las 32 semanas es la ecografía del crecimiento. Mediante la medición del bebé podemos conocer si está desarrollándose correctamente.. WebLa tercera ecografía se realiza entre las semanas 32 y 36 de embarazo. Es probablemente la última ecografía antes del nacimiento del bebé, por lo que sirve. WebLa ecografía es una técnica no invasiva de diagnóstico de imagen prenatal, no dañina, que permite poner en práctica los conocimientos técnicos y la evaluación.
Como Usar La Maquina Depiladora Laser, Aprende a usar la Depiladora Láser RebelSkin, 1.4 MB, 01:01, 41,298, Rebel, 2022-01-18T17:18:20.000000Z, 3, Depiladora láser: ¿Cuál es la mejor 2022? - ZONADAMAS, www.zonadamas.mx, 2508 x 1672, jpeg, , 20, como-usar-la-maquina-depiladora-laser, New Topics
WebLas tres ecografías del embarazo. En un embarazo normal o de bajo riesgo se recomienda realizarse tres ecografías, una por trimestre. La primera entre las semanas 11 y 14, la. WebEcografía de la semana 32 de embarazo Es posible que esta semana empieces a experimentar contracciones similares a los dolores de parto. Pero antes de. WebEcografía del segundo trimestre. La segunda exploración por ultrasonido se realiza en la semana 20 de gestación. Permite confirmar que el crecimiento fetal es. WebLa semana 32 del embarazo se sitúa al inicio de los ocho meses de gestación. Estás en el tercer trimestre de embarazo y el peso del bebé puede aflorar. WebEmbarazo 32 semanas, ecografía, peso y medidas. Ecografía, peso y medidas, revisión, prueba de azúcar y ctg. Nos queda nada para que llegue el bebé, 32 semanas de. WebLa ecografía doppler fetal es una técnica de imagen habitual en obstetricia para examinar el corazón y los vasos sanguíneos del feto, especialmente importante a las. WebEcografía 32 semanas. Lo que me dijeron..: ¡Hola mamis! Me dijeron que mi bebé esta muy bien y ya está encajado en la posición de parto. Me hicieron eco.
Ver ECOGRAFÍA 32 SEMANAS DE GESTACIÓN FETO DE 32 SEMANAS 8 MESES DE EMBARAZO volviéndose viral
Ecografia 4D embarazo de 32 semanas cara
Mirar Semana 32 de embarazo | 32 semanas de embarazo | El embarazo semana a semana volviéndose viral
Más sobre 32 Semanas De Embarazo Ecografía último
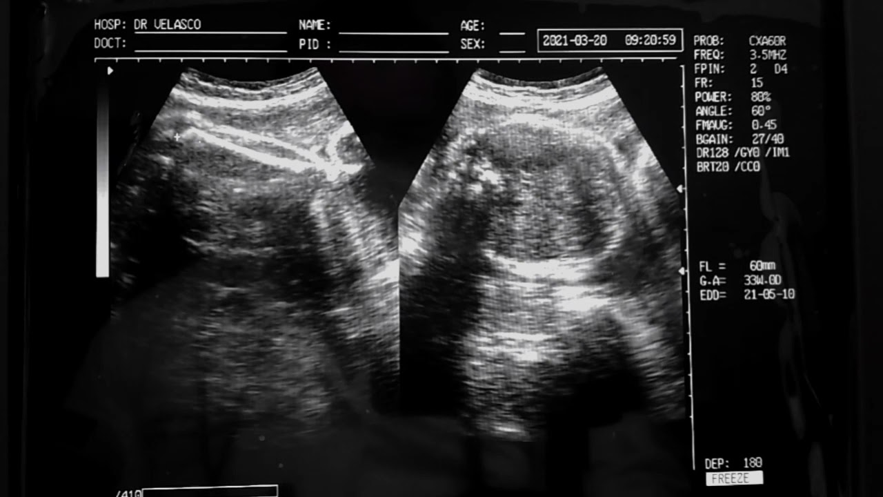
Ecografía obstétrica de 32 semanas de gestación con un feto masculino se valoram movimientos fetales así mismo se realiza fetometría.
Dr. Bernardo Velasco
Viral Ecografia 4D embarazo de 32 semanas cara 4D - YouTube tendencias

Viral Semana 32 de Embarazo (Síntomas, Movimientos, Panza y Ecografía) volviéndose viral

Artículos Ecografia 4D 32 Embarazo de 32 semanas latidos cardiacos Clinica actualizado

Actualmente - Ecografia 4D embarazo de 32 semanas Cara cordón en antifaz Dr. Rafael Nuevo

Ver 32 Week Twins Pregnancy Update | Defying Lupus Último
Ver 32 SEMANAS DE EMBARAZO ECOGRAFIA | 8 MESES DE EMBARAZO / 32 Weeks popular

Ver Bebé 32 semanas de gestación. - YouTube Nuevo

Acerca de ¡Hijo nuevo, vida nueva!: Eco 32 semanas actualizado

Veamos Ecografia 4D embarazo de 32 semanas medidas del pié - YouTube volviéndose viral

Reseñas 32 Semanas de embarazo: ¡Tu bebé pesa 2 kilos! más

Discusión Pregnancy At 32 Weeks - Being The Parent

Imprescindible Pregnancy Week 32: Fetal Development, Ultrasound Cautions & the Stages volviéndose viral

32 Semanas de Embarazo Video - YouTube tendencias

Viral Ecografía 4D ¿Cuál es el momento ideal para hacerla?

Acerca de El peso de un niño a las 32 semanas de gestación: las normas para el

Fotos 32 week ultrasound - Mom in Leggings Último




0 Comments