
Web¿Duele el injerto de encía? La cirugía plástica periodontal en sí misma no es dolorosa, pues el dentista aplica al paciente anestesia local que mitiga cualquier. WebEl injerto de encía es una técnica mínimamente invasiva que se realiza bajo anestesia local, de manera que su efecto mitigue cualquier molestia que el paciente. Web¿Es muy doloroso el injerto de encía? El injerto de encía no duele, dado que se realiza bajo anestesia local. Antes de comenzar la intervención se aplica.
Como Usar La Maquina Depiladora Laser, Aprende a usar la Depiladora Láser RebelSkin, 1.4 MB, 01:01, 41,298, Rebel, 2022-01-18T17:18:20.000000Z, 3, Depiladora láser: ¿Cuál es la mejor 2022? - ZONADAMAS, www.zonadamas.mx, 2508 x 1672, jpeg, , 20, como-usar-la-maquina-depiladora-laser, New Topics
WebCuidados después de un injerto de encía. Los injertos de encía no suelen ser dolorosos, ya que se trata de una cirugía que solo compromete tejido blando por lo. WebUn Injerto de encía consiste en extraer una pequeña cantidad de tejido blando (la zona más utilizada para extraer el injerto es el paladar), y colocarlo en la zona donde la encía está. WebEnfermedad periodontal. El comienzo de la dolencia sucede con la gingivitis, que es la inflamación del tejido gingival. El mismo se hincha, duele, sangra y se ve de color. WebMuchas personas piensan que el injerto de encías se trata de un procedimiento doloroso y largo, pero en realidad no resulta tan doloroso, debido a que este tratamiento protege. WebMejores precios de injerto de encÃa es muy doloroso Además, otro factor que facilita y puede causar recesiones en pacientes con hueso y encía finos es el movimiento de. WebEl injerto de encía es un procedimiento pensado específicamente para este problema, con el objetivo de reparar los daños que se hayan producido, recuperar el aspecto de la. WebCepillar con mucha fuerza o con cepillos muy duros. Si se hace una fuerza excesiva sobre la encía o se emplean cepillos con cerdas muy duras, se lesiona la encía y se pierde.. WebInjerto de encía postoperatorio. Para curar un injerto de encía y no sufrir ningún dolor fuerte, recomendamos colocar hielo local durante 4 o 5 horas tras la cirugía. De esta manera no. WebEl injerto de encías es un tratamiento para la recesión gingival. Pero, ¿es doloroso? ¿Puede fracasar?¿Es doloroso el injerto de encía?Todos los procedimient...
Videos ¿Es doloroso el INJERTO DE ENCÍA ¿Puede fracasar | #Shorts
Videos Injerto de encía: ¿Qué es y qué cuidados se deben de hacer - Clínica Ruiz de Gopegui
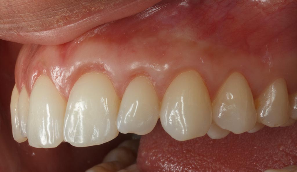
Ver Injerto de encía - Colgajo desplazado coronalmente para tratar la recesión de encías © volviéndose viral
Injerto De Encía Es Muy Doloroso último
El injerto de encías es un tratamiento para la recesión gingival. Pero, ¿es doloroso? ¿Puede fracasar?
¿Es doloroso el injerto de encía?
Todos los procedimientos de cirugías plásticas periodontales se realizan con anestesia local con lo cual el paciente no siente ningún dolor.
¿Pueden volver a retraerse las encías después de un injerto?
Sí, por ello es fundamental eliminar todos los factores negativos que influyen en la recesión de encías. Hay que tener en cuenta que no en todas las coberturas de raíces se consigue un 100% de recubrimiento, ello va a depender de los factores mencionados anteriormente y del nivel óseo que tenga esa pieza y las de al lado.
Más vídeos de Dentalk aquí 👉 bit.ly/dentalkES.
Suscríbete a nuestro canal de Youtube 👉 bit.ly/suscribeteCP
Síguenos también en:
👍 Instagram: instagram.com/clinicapardinas
👍 Facebook: facebook.com/clinicapardinas
👍 Twitter: twitter.com/ClinicaPardinas
👍 Linkedin: linkedin.com/company/clinicapardinas
👍 Tiktok: tiktok.com/@clinicapardinas/
👍 Pinterest: pinterest.es/clinicapardinas
#injertodeencia #recesiondeencia
Acerca de Puntos Blancos En Las Encias - memoms volviéndose viral

Viral Injerto de Encía - Clinica Dental Beatriz Rubio volviéndose viral

Viral injerto encía - Martinez Canut - Clínica Dental Valencia actualizado

Fotos Injerto de encía - Crooke & Laguna Último

Actualmente - Clínica Bayona | Cirugía periodontal: Injertos - Clínica Bayona

Aquí Injertos de encía para mejorar la estética oral - Clínica Baldor viral

Injerto de encía - Crooke & Laguna popular

Imprescindible iDental | Cirugía Injerto Encía | Dr. Carlos Carrascosa - YouTube actualizado

Último Tratamiento para la periimplantitis en Implantes Dentales [Injerto de

Temas Tratamiento de injerto de encía en Oviedo Último

Ver Encías retraídas: causas, factores de riesgo y solución. popular

Viral Tratamiento para la periimplantitis en Implantes Dentales [Injerto de Último

Mira Clínica Bayona | Cirugía periodontal: Injertos - Clínica Bayona popular

Asunto Injerto de encía con tejido conectivo: encías descarnadas Último
Temas Caso de éxito: recesión de encía mediante injerto gingival libre sobre tendencias

Viral Caso Real de Injerto de Encía - Antes/Después | Pla Dental popular




0 Comments